Your smile is a reflection of your confidence. Blue Dental offers professional teeth whitening treatments that restore your smile’s brilliance safely, effectively, and instantly.
Personalized whitening by specialists trained in smile aesthetics.
Visible results in just one appointment.
Designed for safe at-home maintenance.
Minimizes sensitivity and enhances tooth strength.
Affordable, clear options — no hidden costs.
Smiles transformed across 15+ countries.
Assess tooth color and customize treatment plan.
Remove plaque and surface stains.
Apply whitening gel and activate with light.
Provide home care instructions for lasting brightness.
Instructions, pain management, and follow-up checks.
up to 6–8 shades whiter — in just one visit.
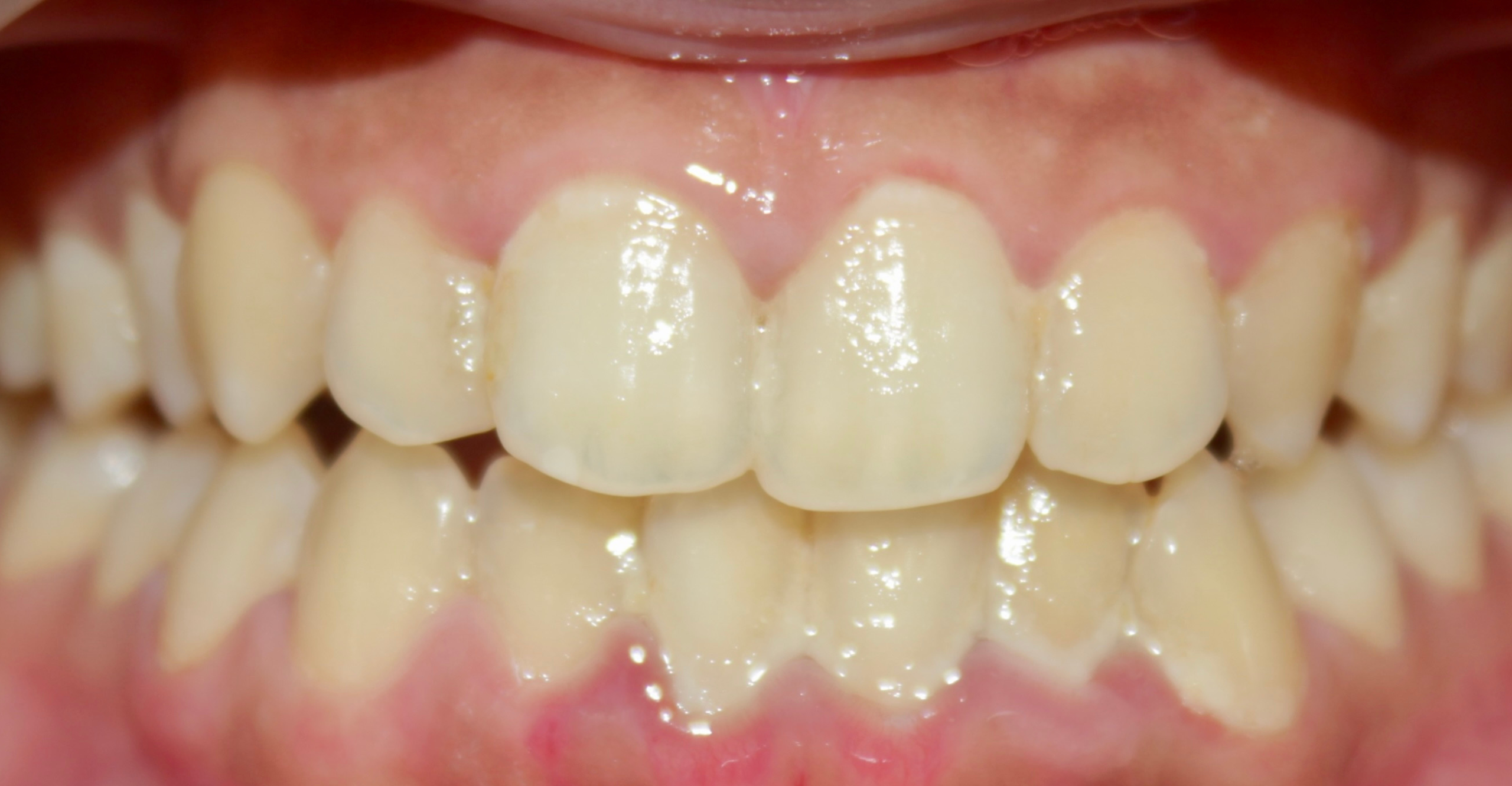
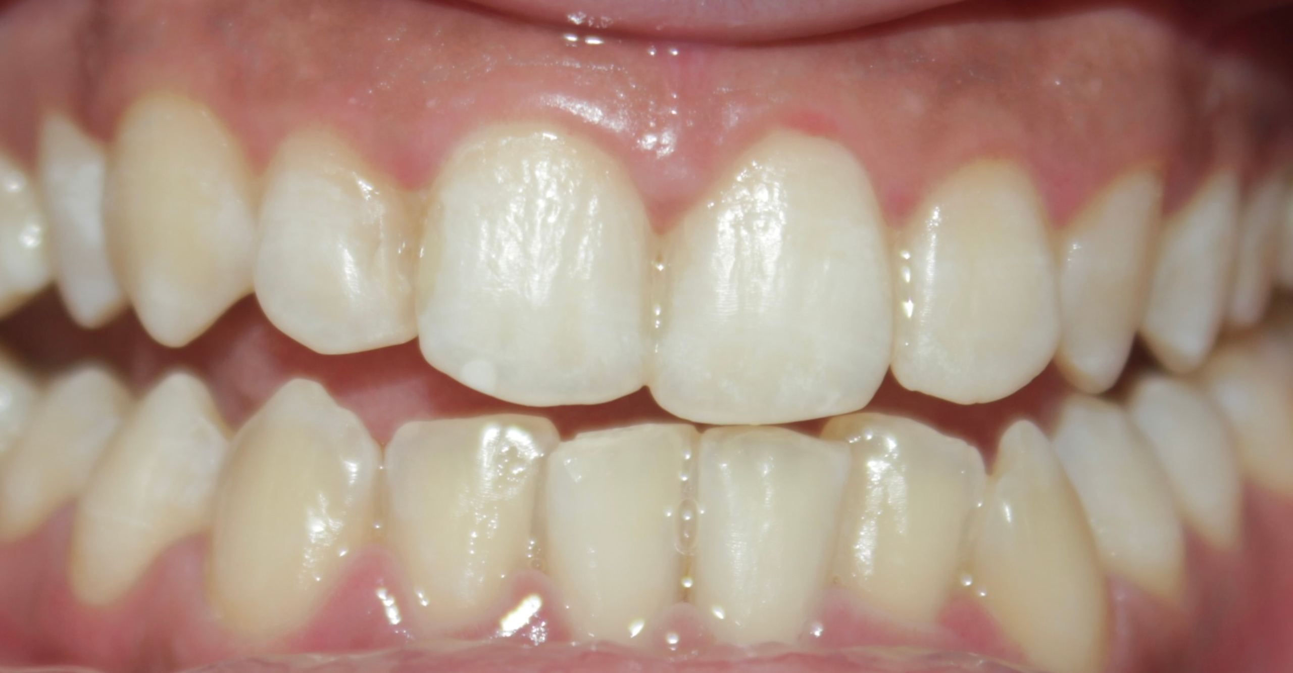
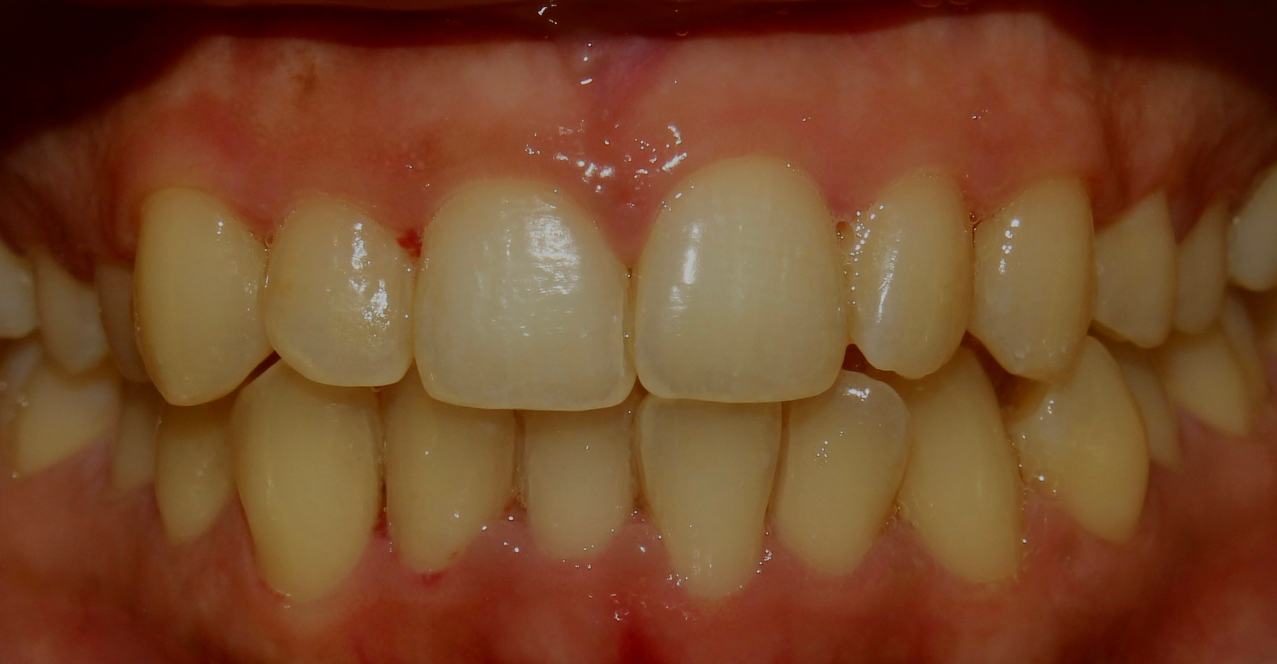
Every smile we design tells a story of confidence regained, comfort restored, and lives changed. Explore some of our recent transformations crafted with precision and care.


“My wedding photos look amazing, thanks to Blue Dental! I got my whitening done just a few days before — and the results were unbelievable.”
Let your smile shine its brightest. Book a professional teeth whitening session at Blue Dental and rediscover your confidence.
Yes. Our whitening procedures are 100% safe, using dentist-approved products and techniques.
Minor sensitivity can occur temporarily, but we use desensitizing agents to protect enamel.
With good oral care and limited staining habits, results can last 6–12 months.
Whitening is most effective on natural teeth. Crowns or fillings don’t change color, but we can match them post-whitening.
Copyright © 2025 All Rights Reserved.