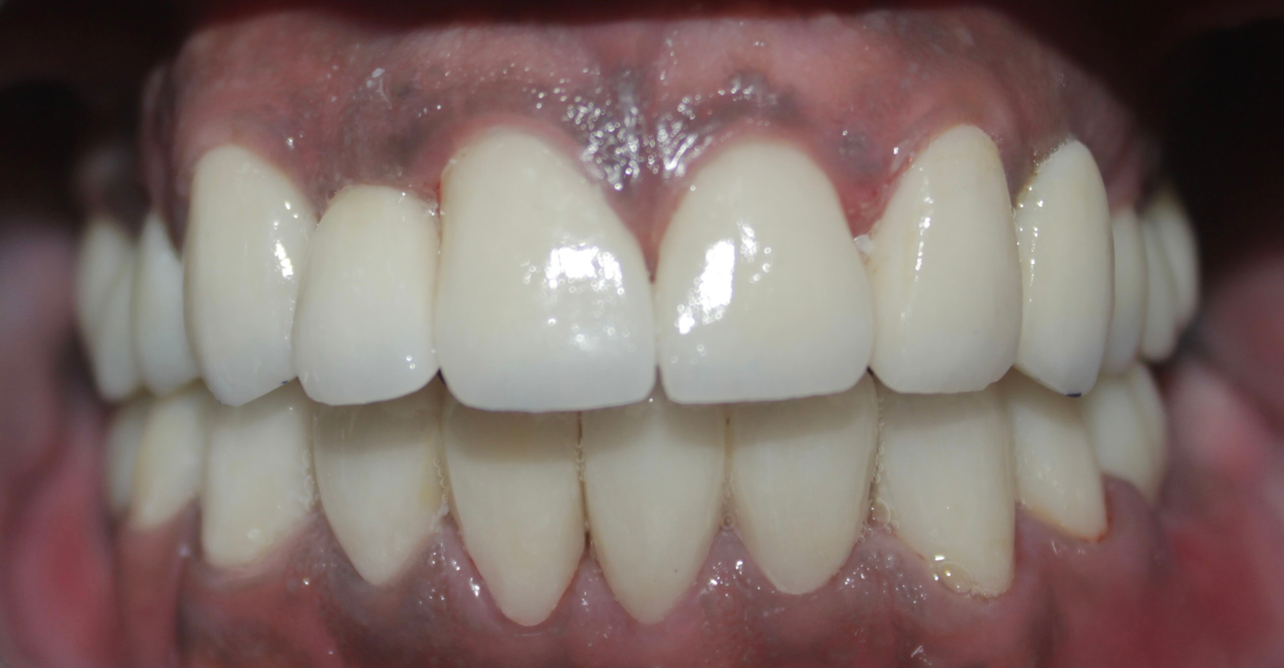
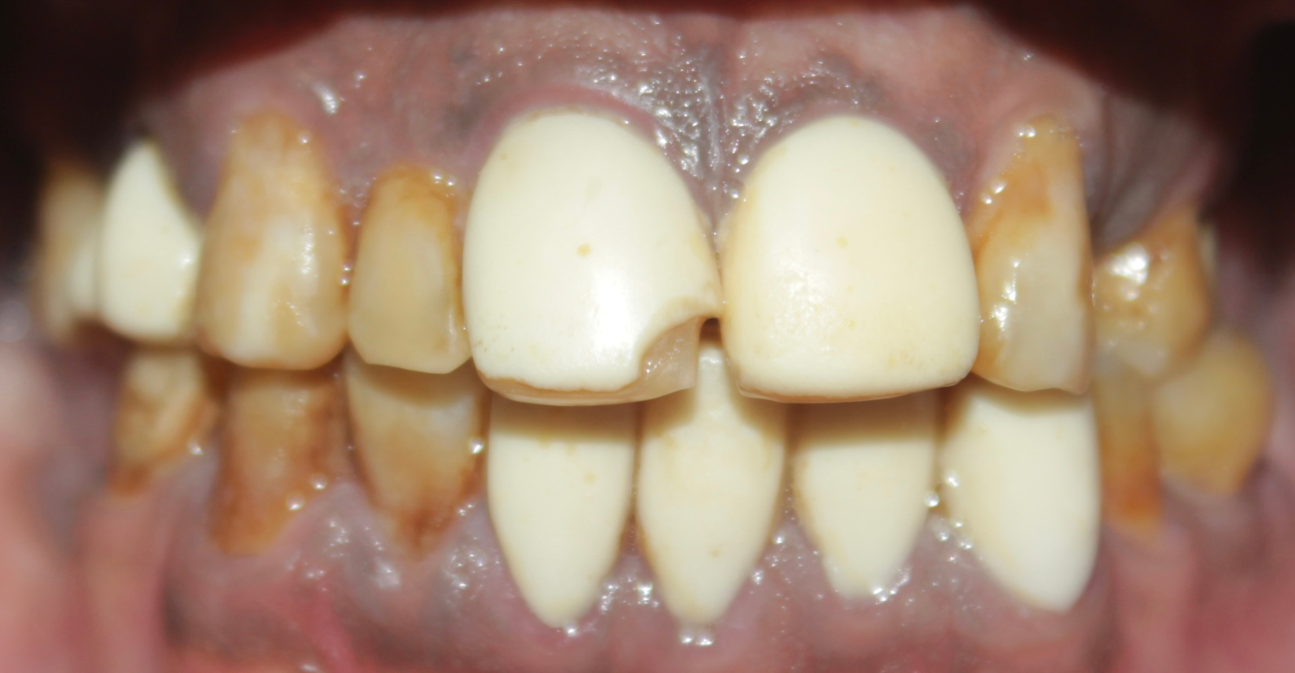
At Blue Dental, every smile transformation is thoughtfully planned and carefully executed.
Our before-and-after results reflect a philosophy rooted in natural aesthetics, conservative dentistry, and long-term oral health.
“A beautiful smile should never look artificial. My approach is to enhance what is already there — with precision, balance, and respect for each patient’s individuality.” — Dr. Imran B, Blue Dental
















Images shown are of actual patients treated at Blue Dental or representative clinical workflows. Results may vary based on individual conditions.
Copyright © 2025 All Rights Reserved.