At Blue Dental, our restorative experts provide customized crowns and bridges using state-of-the-art digital tools. Each restoration is designed for strength, aesthetics, and longevity, giving you the confidence to smile and eat comfortably again.
At Blue Dental, we make dental implants precise, safe, and affordable for every patient. Here’s what makes us one of the most trusted implant destinations in Chennai
implants placed by experienced surgeons, not general dentists.
clear treatment plans with no hidden costs
easy monthly payment plans to fit your budget.
global-standard care in Chennai.
for accuracy, safety, and long-lasting results.
ADA, OSHA, and FDA-backed protocols.
We assess bone health and digitally plan your implant placement.
A titanium root is placed into the jawbone under local anesthesia.
The implant fuses with the bone (osseointegration) for a strong foundation.
A custom-made crown is attached, completing your smile
Regular reviews to ensure long-term success.
3–6 months, depending on case complexity.
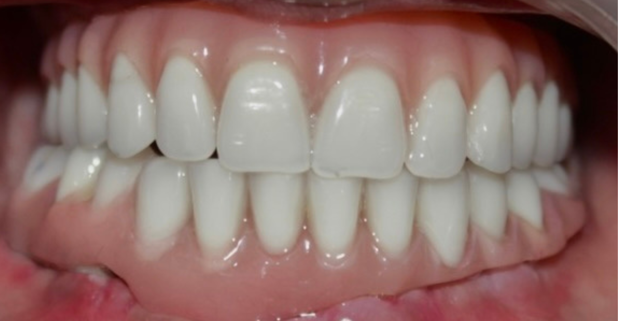
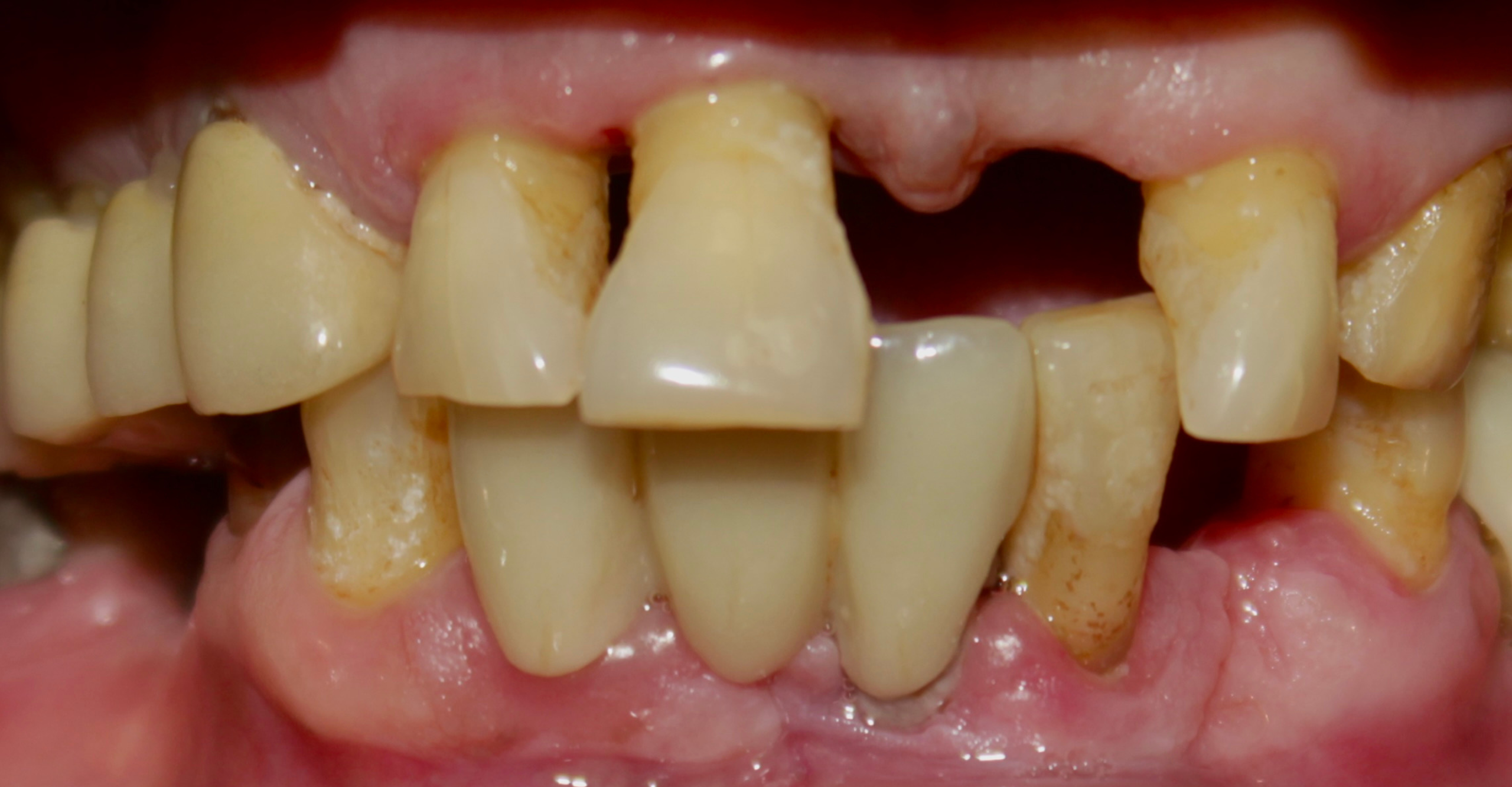
Every smile we design tells a story of confidence regained, comfort restored, and lives changed. Explore some of our recent transformations crafted with precision and care.


“I was worried about my missing teeth for years. The dental implant procedure at Blue Dental was painless, and now I can eat and smile confidently again!”
Ready to replace your missing teeth with a permanent solution? Book your dental implant consultation at Blue Dental today.
With proper care, implants can last a lifetime.
Performed under anesthesia, most patients report minimal discomfort, often less than a tooth extraction.
Most patients resume daily activities within 24–48 hours after implant placement.
At Blue Dental, implants are made accessible with transparent pricing and flexible EMI options.
Copyright © 2025 All Rights Reserved.