Straighten your teeth with the world’s most advanced clear aligner system — designed for comfort, convenience, and stunning results.
At Blue Dental, we’re proud to be one of the Top Invisalign Clinics in Chennai, with certified expertise and hundreds of successful smile transformations.
– Led by Dr. Imran, trained in digital orthodontics and advanced smile design.
See your before & after smile virtually before treatment begins.
No messy impressions — digital scans ensure a perfect fit.
Easy monthly payments to make Invisalign affordable.
Regular follow-ups and virtual check-ins with your dentist.
Real results, trusted by smiles across 15+ countries.
We assess your teeth and show your future smile virtually.
Aligners are custom-designed and delivered for your treatment.
Change your aligners every 10–14 days as per your plan.
Track your improvement with regular dental check-ups.
Enjoy your beautifully aligned smile.
6–12 months, depending on case complexity.
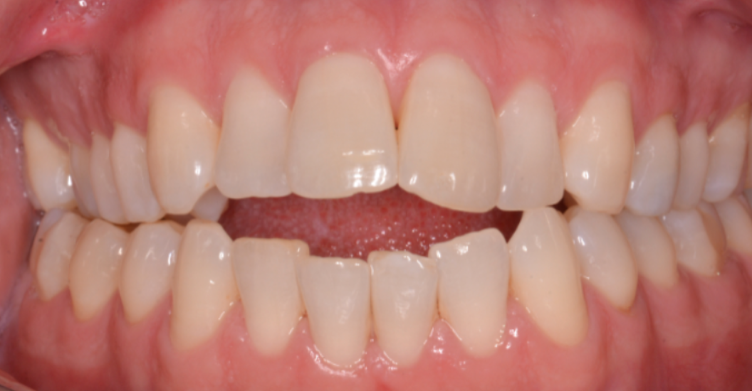
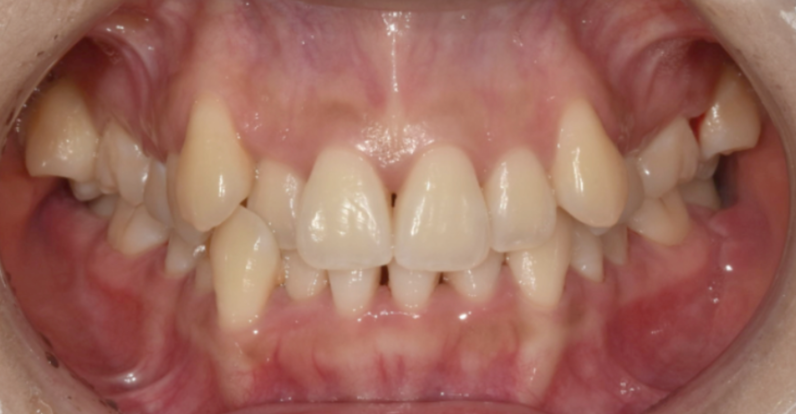
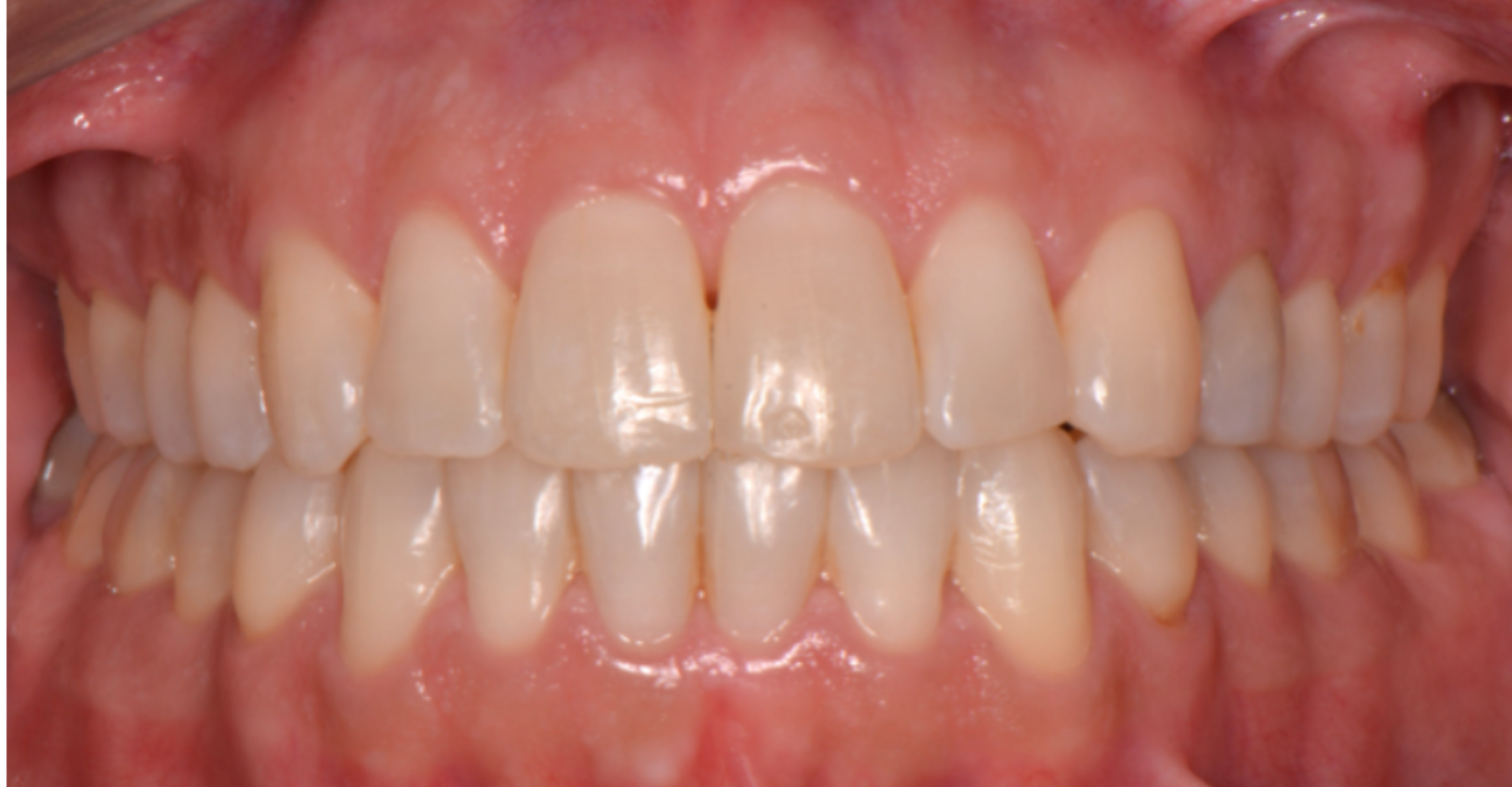
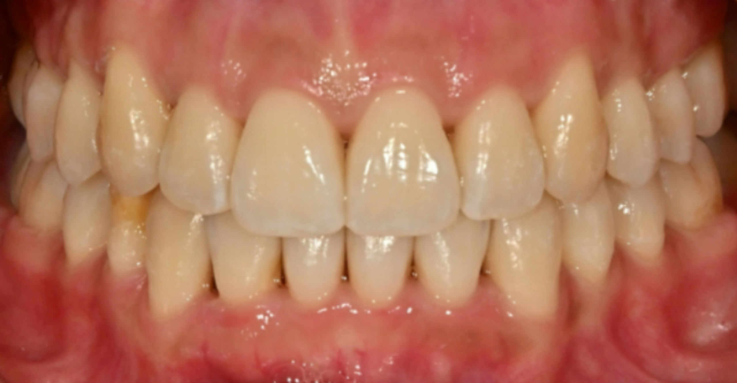
Every smile we design tells a story of confidence regained, comfort restored, and lives changed. Explore some of our recent transformations crafted with precision and care.


I never thought teeth straightening could be this easy. My Invisalign journey at Blue Dental was comfortable, smooth, and the results were unbelievable!” – Ananya, Chennai
Start your Invisalign journey with Chennai’s most trusted provider. Transform your smile discreetly and confidently with Blue Dental.
Yes, Invisalign aligners are nearly invisible, comfortable, and removable — making them the most aesthetic and convenient choice.
For best results, wear them 20–22 hours a day.
In many cases, yes. Our digital scans help determine if you’re a good candidate.
Slight pressure is normal initially, but there’s no sharp metal or discomfort like braces.
Copyright © 2025 All Rights Reserved.