Healthy gums play a crucial role in protecting your teeth, jawbone, and overall oral health.
At Blue Dental, our gum treatments focus on controlling infection, preventing tooth loss, and restoring long-term stability — with comfort, precision, and care.
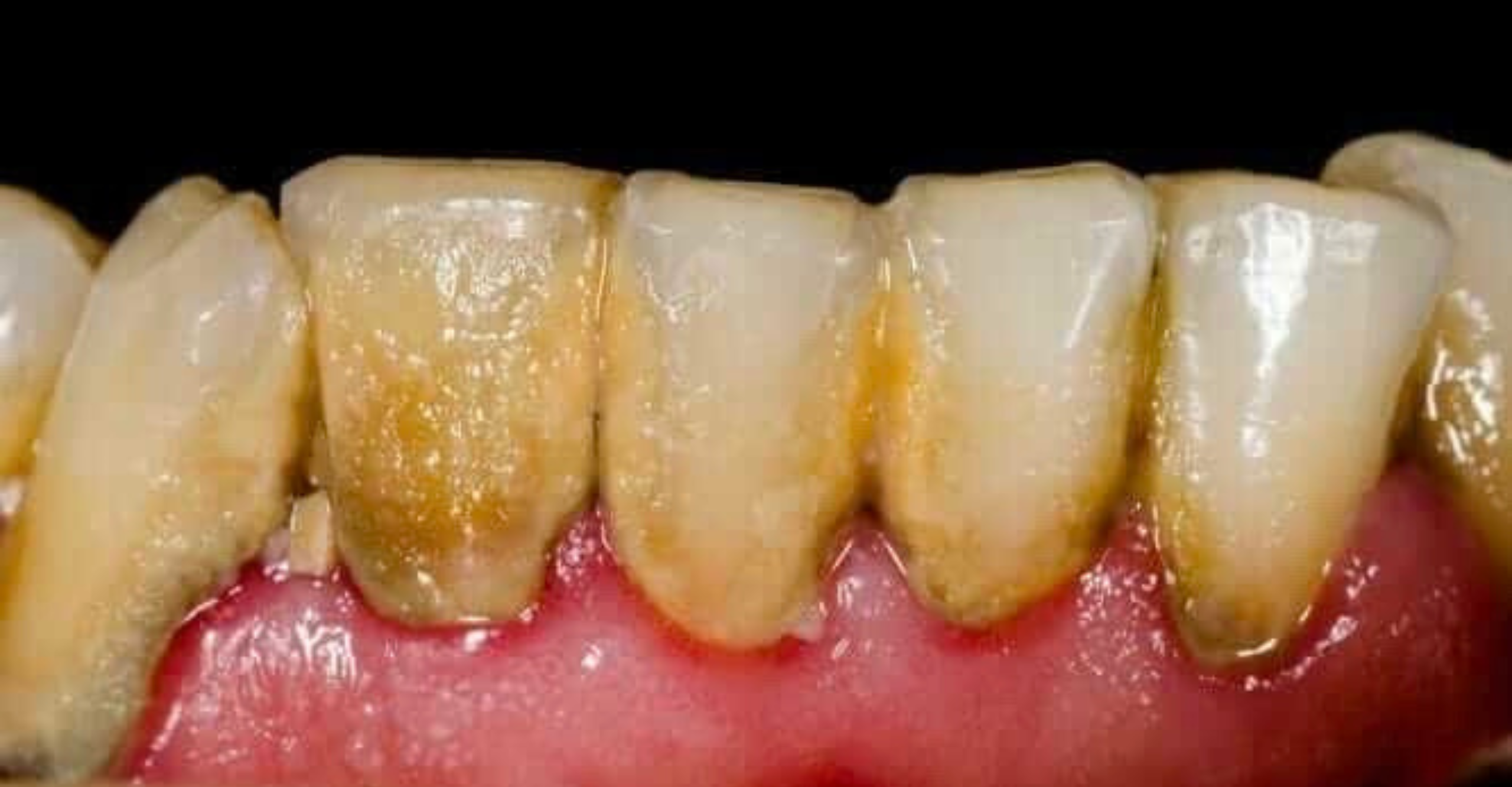
If you notice bleeding gums, bad breath, gum recession, or loose teeth, early treatment can make all the difference.
Your gum treatment is managed by experienced clinicians trained to diagnose and treat gum disease at every stage.
Advanced diagnostic tools help us detect gum problems early and plan targeted treatment.
We focus on conservative, minimally invasive treatments whenever possible to promote faster healing.
You receive a clear explanation of your gum condition, treatment steps, and standardised costs upfront.
Procedures are performed gently, with patient comfort as a priority throughout treatment.
Patients from across the world trust Blue Dental for ethical, effective periodontal care in Chennai.
Evaluation of gum health, bone support, and infection severity.
Clear explanation of your condition, treatment stages, and expected outcomes
Deep cleaning or advanced therapy performed with care and precision.
If required, for advanced cases surgical procedures may be recommended.
Ongoing professional cleanings to protect long-term gum health.
Regular reviews to ensure infection control and gum healing
Every smile we design tells a story of confidence regained, comfort restored, and lives changed. Explore some of our recent transformations crafted with precision and care.


“My gums used to bleed constantly. After treatment at Blue Dental, my gums are healthy and pain-free. The care was gentle and reassuring.”
Book your gum health consultation at Blue Dental today
Yes. With early diagnosis and proper care, gum disease can be controlled and stabilised.
Most treatments are comfortable and performed gently, with local anaesthesia if required.
Treatment duration depends on severity and may require multiple visits.
Without maintenance, it can. Regular follow-ups are key to long-term success.
Copyright © 2025 All Rights Reserved.