Your smile is your signature. Blue Dental offers world-class veneer treatments that combine artistry with precision, enhancing your smile while maintaining natural beauty.
Every veneer is digitally designed to match your face and personality.
Preview your smile before the procedure using Digital Smile Design (DSD).
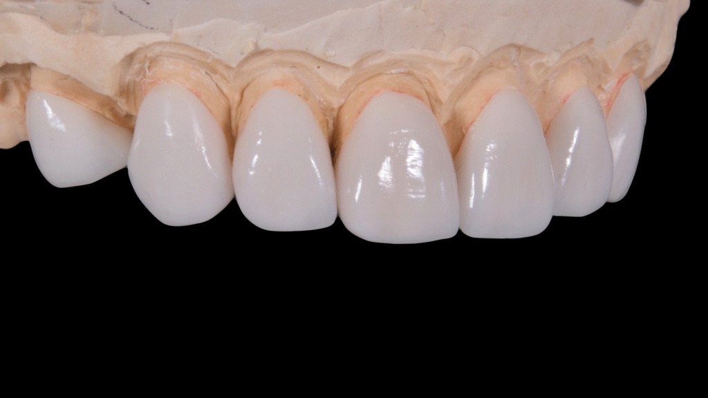
Crafted for strength, translucency, and lifelike beauty.
Led by Dr. Imran, trained in advanced aesthetic and implant techniques internationally.
No surprises, just clear and flexible options.
Trusted by patients from 15+ countries.
Assess facial balance and aesthetic goals.
See your future smile with DSD visualization.
Minimal contouring to fit the veneers perfectly
Bonded with advanced adhesives for durability
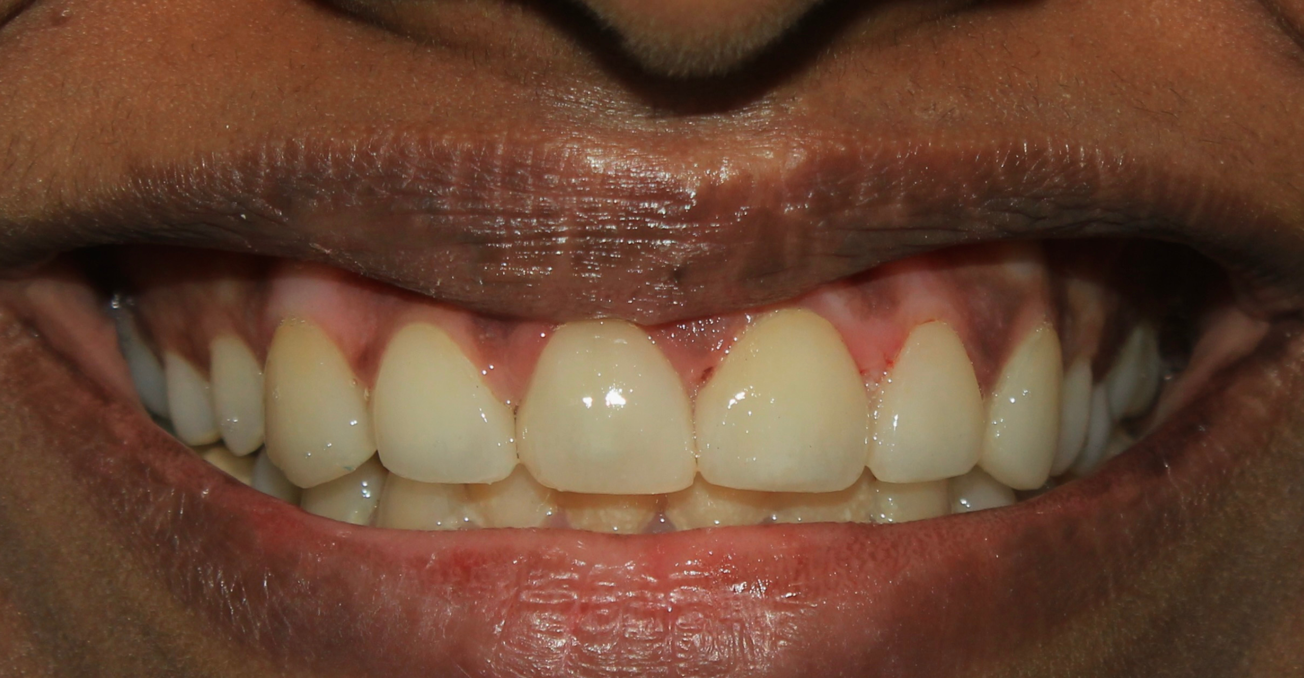
You walk out with a flawless new smile.
Precision and artistry meet to create a naturally stunning result.
Every smile we design tells a story of confidence regained, comfort restored, and lives changed. Explore some of our recent transformations crafted with precision and care.


“I used to hide my smile during photos. After getting veneers at Blue Dental, I can’t stop smiling! Everyone says it looks completely natural."
Rediscover your most confident self. Book your smile design consultation at Blue Dental and experience the art of precision veneers.
Yes. With proper care, porcelain veneers can last 10–15 years or longer.
Absolutely. Our veneers are custom-made to mimic the translucency and texture of real teeth.
Not at all — it’s minimally invasive and performed under local anesthesia if needed.
No. Only minimal enamel is removed, and your natural teeth remain protected underneath.
Copyright © 2025 All Rights Reserved.