A confident smile begins with well-aligned teeth. At Blue Dental, our braces treatment is designed to gently correct misaligned teeth, improve bite function, and enhance facial aesthetics — with predictable, long-lasting results.
Whether you’re a teenager or an adult, braces can do more than straighten teeth — they can change the way you smile, speak, and feel about yourself.
Your braces treatment is planned and managed by experienced orthodontists, ensuring safe, precise, and predictable alignment.
Advanced diagnostics help us plan tooth movement accurately before treatment begins.
We offer braces solutions tailored for children, teenagers, and adults — without a one-size-fits-all approach.
You receive a clear treatment plan with standardised pricing and no hidden surprises.
Easy monthly payment plans make orthodontic treatment stress-free and accessible.
Patients across the globe choose Blue Dental for reliable orthodontic care in Chennai
Comprehensive evaluation of teeth, bite, and jaw using modern diagnostics.
A customized braces plan with clear timelines and outcome expectations.
Comfortable and precise bonding of braces under expert orthodontic care.
Scheduled visits to gently guide teeth into perfect alignment.
Retainers provided to maintain your new smile after treatment completion.
3 months / 6 months review to make sure your smile stays in place and to avoid relapse
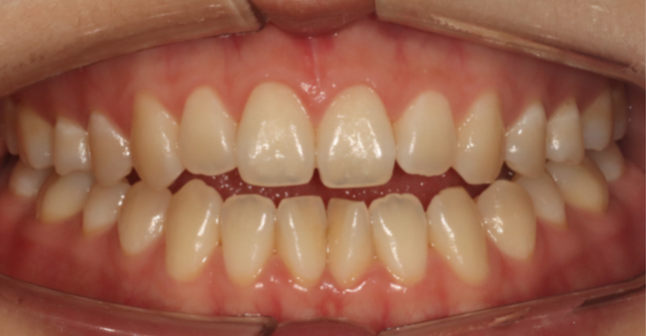
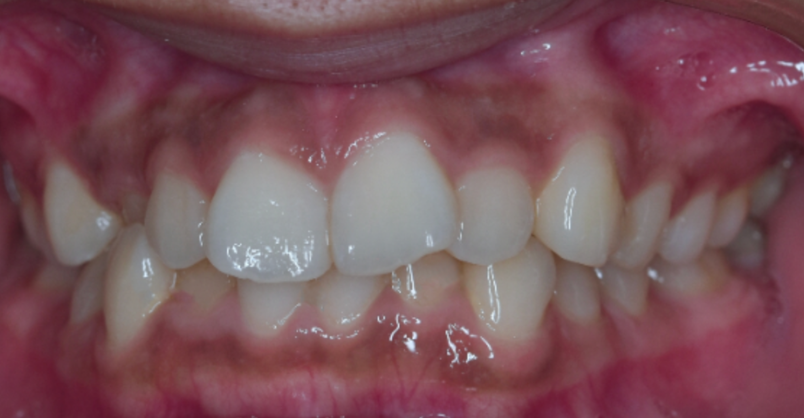
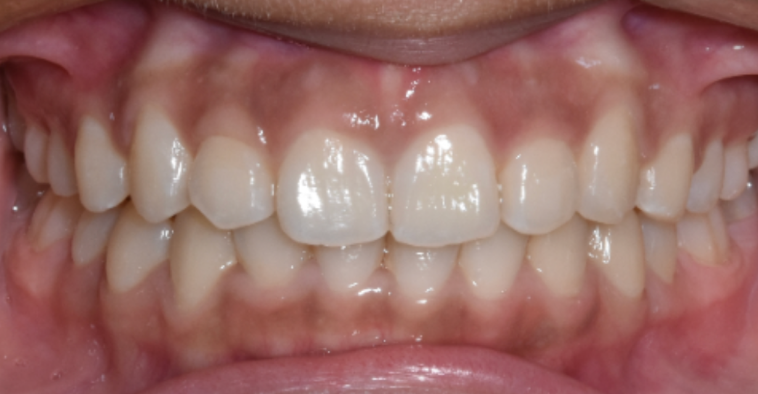
Every smile we design tells a story of confidence regained, comfort restored, and lives changed. Explore some of our recent transformations crafted with precision and care.


“I always thought braces were only for kids. Blue Dental proved me wrong. The results were life-changing.”
Mild discomfort may occur initially, but it settles quickly
Typically 12–24 months depending on complexity.
Yes, many of our braces patients are adults
Yes, flexible EMI options are available.
Copyright © 2025 All Rights Reserved.