At Blue Dental, our restorative experts provide customized crowns and bridges using state-of-the-art digital tools. Each restoration is designed for strength, aesthetics, and longevity, giving you the confidence to smile and eat comfortably again.
Digital Precision (CAD-CAM) – Perfect fit and natural aesthetics with advanced design technology.
Metal-free zirconia, E-max, and ceramic crowns for strength and beauty.
Custom-crafted by experts for long-term comfort and function.
No hidden charges — easy installment plans available.
Faster delivery and better quality control.
Durable restorations with proven results.
3D scan to assess tooth shape and structure.
Minimal shaping to fit the crown or bridge perfectly.
Crown designed to match your natural tooth color.
Permanently bonded for perfect fit and comfort.
Review to ensure long-term bite alignment and health.
Comfortable. Accurate. Seamless restoration in just two visits.
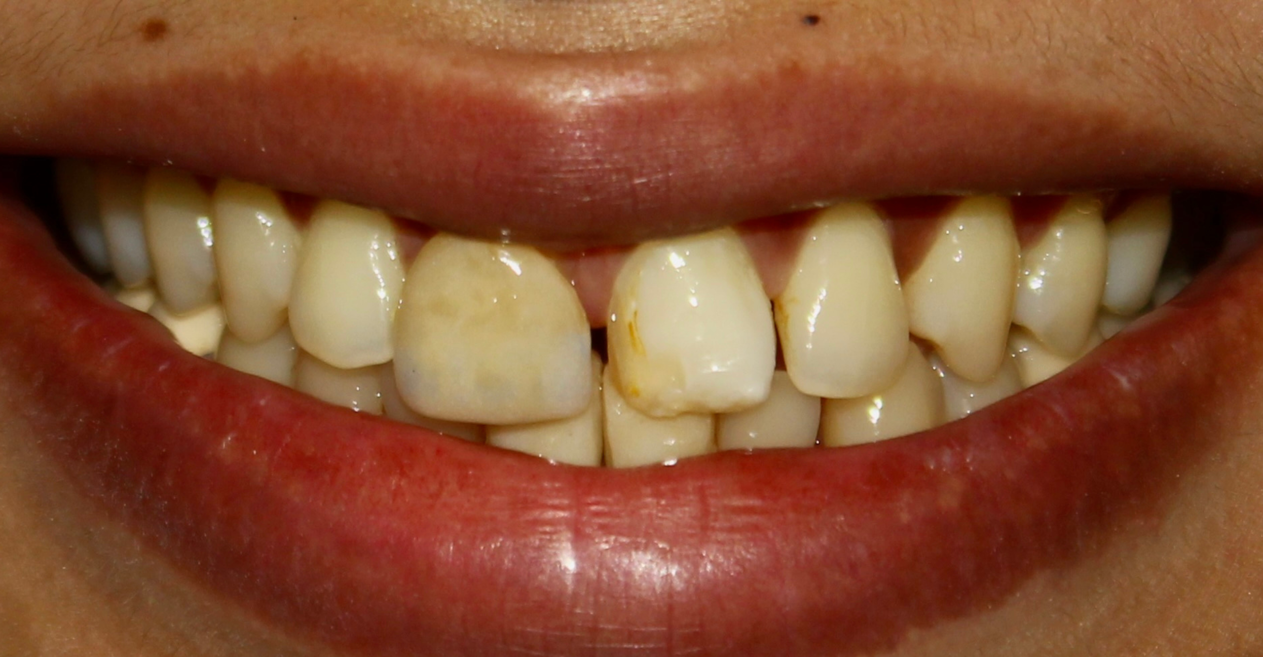
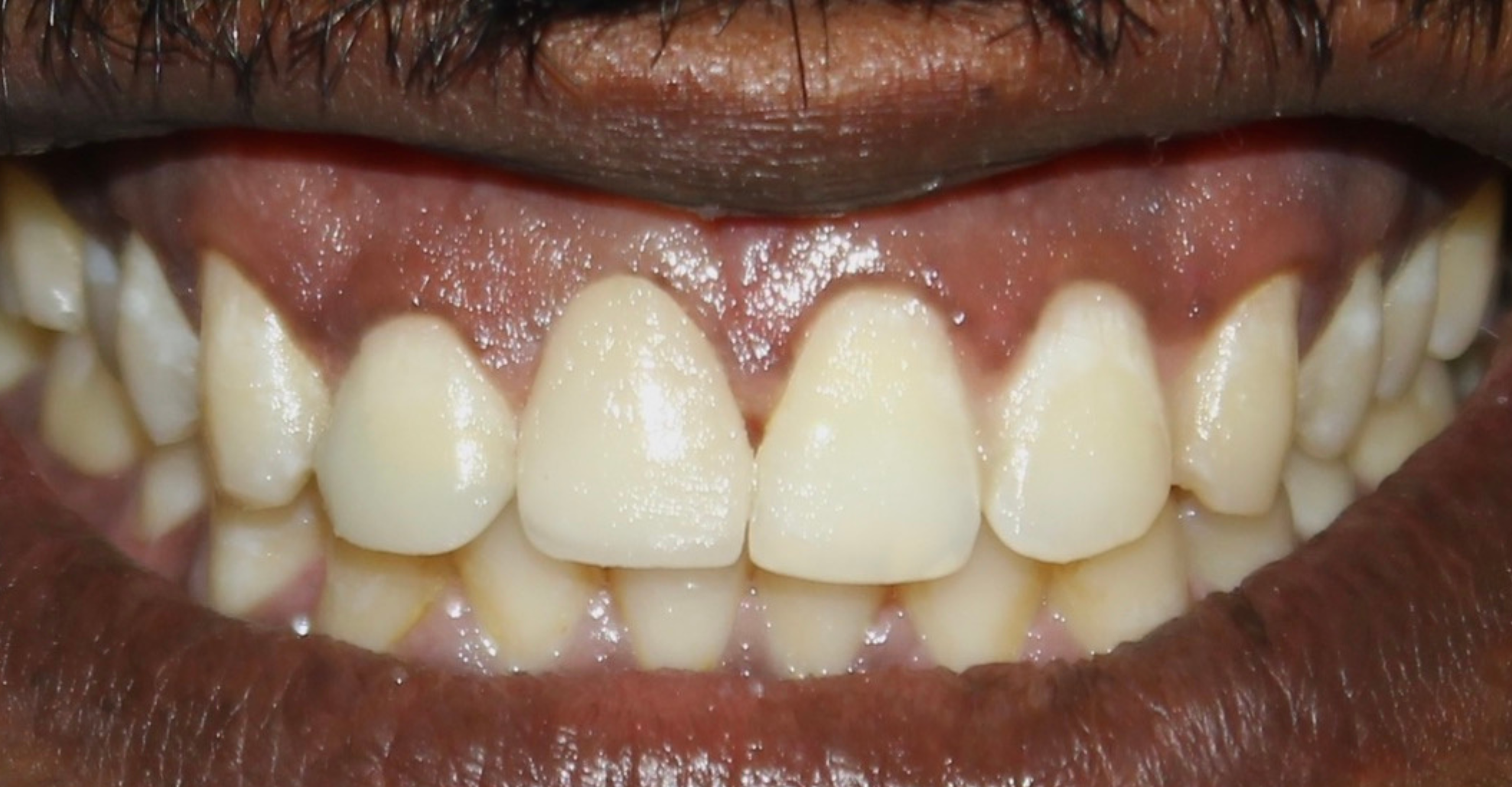
Every smile we design tells a story of confidence regained, comfort restored, and lives changed. Explore some of our recent transformations crafted with precision and care.


I got my old metal crowns replaced with zirconia at Blue Dental. They look so natural that even my friends can’t tell the difference!
Bring back the comfort, function, and confidence of a natural smile. Book your Crowns & Bridges consultation with Blue Dental today.
A crown covers a damaged tooth, while a bridge replaces one or more missing teeth by anchoring onto adjacent teeth.
Yes, zirconia crowns are metal-free, strong, and provide excellent aesthetics — ideal for both front and back teeth.
With proper oral care, they can last 10–15 years or more.
Absolutely. Each crown is color-matched and contoured to blend perfectly with your natural teeth.
Copyright © 2025 All Rights Reserved.